How Composite Bonding for Crooked Teeth Works & Looks
If you have slightly crooked teeth and don’t want to go through the time and pain of braces, then composite bonding might just be the right treatment for you. Composite bonding is fast, completed in a single appointment and very affordable. But it won’t work for all cases of crooked teeth.
Will it work for you?
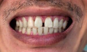
- Composite bonding is a tooth-coloured resin that addresses slightly crooked teeth (not severe misalignment).
- The treatment will only work for mildly to moderately crooked teeth (case dependent).
- You can expect the treatment to work best for minor, cosmetic and slight misalignment cases.
- The more severe your crooked teeth case, the more material required, making the results appear thicker and less natural.
The only way to understand what’s possible is to book in for a consultation with a dentist – and if you live in Chester, we offer complimentary consultations to assess whether composite bonding is suitable to conceal and cover your crooked teeth.
Book a consultation online with our dentists in Chester. Free with a refundable deposit upon attendance.

When composite bonding is not really suitable for crooked teeth
Composite bonding should not be your first choice if you suffer from:
- Severe tooth misalignment
- Large gaps between teeth
- Overbites and overjets
This is because composite bonding uses a composite resin material that’s added to the tooth to reshape, resize and conceal imperfections.
What needs to be remembered here is that composite bonding is a treatment designed to camouflage, not as a correction like orthodontics. It’s used to reshape teeth, not reposition them.
This is why composite bonding works better the more naturally straight your teeth are. That said, composite bonding can be suitable in some cases where the teeth are slightly crooked.
If you’re thinking of composite veneers as an alternative, they’ll work similarly to composite bonding and are only suitable for mild cases; however, they’re more effective at treating multiple crooked teeth.

Types of crooked teeth composite bonding is successful for
Here are the cases where our cosmetic dentists can make composite bonding work for crooked teeth:
✅ Slight rotations
Treatable by visually straightening teeth with composite, and it works particularly well when the rotation is mild, and there’s enough space.
✅ Small overlaps
Composite bonding is really only appropriate when the overlap is minimal; if there’s significant overlap, bonding makes teeth look bulky.
✅ Mild crowding
Some success can be seen with mild crowding, but it’s trickier in crowded areas, such as the lower front teeth.
✅ Small gaps and uneven spacing
Best use for composite bonding, where treatment is quick and conservative.
✅ Uneven tooth edges
Composite bonding works best for smoothing and levelling tooth edges.
Send our cosmetic team a picture of your smile to learn if composite bonding will work for you.
How composite bonding is used for crooked teeth
Our cosmetic dentists build up the concave sides of crooked teeth, filling the gaps and either shortening or lengthening the edges to help them appear straight.
What to expect from proceeding with treatment
- Cheaper and faster than dental veneers, crowns or braces.
- Fast, painless procedure completed in one appointment (around 60 minutes).
- Material lasts 5-7 years and requires renewal.
- Does not always require a local anaesthetic.
- Shade matched to your other teeth.
Cost of composite bonding for crooked teeth
- At our clinic in Chester, composite bonding costs from £250 per tooth.
- Average UK prices for composite bonding for crooked teeth start from £300.
- The cost of composite bonding for crooked teeth might be higher because more material is required.
- Book a free consultation to assess suitability and receive a custom quote for the cost of your case.
Explore Invisalign for crooked teeth and the cost here instead.










